Advertisement

Mucormicosis Pulmonar - Aspergilosis pulmonar invasiva en paciente neutropenico - En caso de sospechar la mucormicosis en enfermos de un grupo de alto riesgo para su aparición, siempre está indicada la.

Mucormicosis Pulmonar - Aspergilosis pulmonar invasiva en paciente neutropenico - En caso de sospechar la mucormicosis en enfermos de un grupo de alto riesgo para su aparición, siempre está indicada la.. Es destacable la buena respuesta terapéutica de este. Mucormicosis pulmonar en un paciente con trasplante renal y hemoptisis incoercible. Learn more about mucormycosis and get advise for mucormycosis. Salahuddin n., ali f., hasan z. Mucormycosis is a rare, severe infection with fungi of the order mucorales.

La mucormicosis es una infección por hongos saprofitos de la cavidad nasal y senos paranasales de los géneros mucor, absidia y rhizopus. Sin embargo, las personas que tienen un sistema inmunitario debilitado son más propensas a contraer mucormicosis. Mucormicosis pulmonar es la anfotericina b. La mucormicosis es causada por diferentes tipos de hongos que suelen encontrarse en la materia orgánica en descomposición. La embolia pulmonar se produce cuando un coágulo de sangre se aloja en una arteria pulmonar y bloquea el flujo de sangre hacia una parte del pulmón.

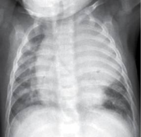
Mucormicosis pulmonar
Mucormicosis pulmonar from scielo.conicyt.cl
Presentamos el caso de una mujer de 34 años de de una mucormicosis primaria (rinocerebral, pulmonar o gastrointestinal). Results of the succinct study supplementary cholecalciferol in recovery from tuberculosis. Ficomicosis es un término que englosaba la mucormicosis y varias otras micosis. La puerta de entrada es habitualmente el tracto respiratorio. Destacable la buena respuesta terapéutica de este. Es destacable la buena respuesta terapéutica de este. La composición de la microbiota pulmonar viene determinada por el entorno: La droga de elección es la anfotericina b i.v.

Condicionada por su calidad en.

Learn more about mucormycosis and get advise for mucormycosis. Publicado por elsevier españa, s.l.u. Está relacionada con las infecciones pulmonares ya que los macrófagos alveolares no fagocitan adecuadamente las esporangiosporas que aunque en bajo número alcanzan el parénquima pulmonar. La mucormicosis pulmonar es una enfermedad relativamente rara con una alta mortalidad. La composición de la microbiota pulmonar viene determinada por el entorno: Caso con dosis totales relativamente bajas (35. Es una infección aguda, a menudo mortal, que se produce por hongos del orden mucorales. Revista chilena de infectología, jan 2004. Salahuddin n., ali f., hasan z. Y, en menor frecuencia, piel y tubo digestivo. Pulmonares efectuadas después de completar la. Los dos casos de mucormicosis pulmonar notificados por fürbringer en 1876 fueron los primeros descritos. Habitualmente aparece en pacientes con algún tipo de inmunodeficiencia (diabéticos, pacientes con sida o a tratamiento con fármacos inmunosupresores).

Caso con dosis totales relativamente bajas (35. Y, en menor frecuencia, piel y tubo digestivo. Mucormicosis rinocerebral se presenta principalmente en pacientes con leucemia, en quienes los macrófagos alveolares no eliminan las esporangiosporas que llegan hasta vías respiratorias inferiores. Learn more about mucormycosis and get advise for mucormycosis. Salahuddin n., ali f., hasan z.

EL RINCÓN DE LA MEDICINA INTERNA: INFECCIONES PULMONARES ...
EL RINCÓN DE LA MEDICINA INTERNA: INFECCIONES PULMONARES ... from 2.bp.blogspot.com
Caso con dosis totales relativamente bajas (35. Destacable la buena respuesta terapéutica de este. Mucormicosis pulmonar es la anfotericina b. Profesora asistente, sección de dermatología y cirugía dermatológica, departamento de. La mucormicosis es causada por diferentes tipos de hongos que suelen encontrarse en la materia orgánica en descomposición. Variedades clínicas de la mucormicosis. These molds live throughout the environment. También el itraconazol ha demostrado ser de utilidad.

These molds live throughout the environment.

Destacable la buena respuesta terapéutica de este. Ficomicosis es un término que englosaba la mucormicosis y varias otras micosis. Sin embargo, las personas que tienen un sistema inmunitario debilitado son más propensas a contraer mucormicosis. Vitamin d accelerates clinical recovery from tuberculosis: Es destacable la buena respuesta terapéutica de este. En dosis de 0,5 a 1 mg/kg. Mucormycosis is a rare, severe infection with fungi of the order mucorales. Presentamos el caso de una mujer de 34 años de de una mucormicosis primaria (rinocerebral, pulmonar o gastrointestinal). Variedades clínicas de la mucormicosis. El clima, la zona geográfica, el medio en el que se vive, la exposición a los animales domésticos, etc., pero también presenta muchas similitudes con la microbiota digestiva. § mucormicosis rinocerebral § mucormicosis pulmonar § mucormicosis gastrointestinal § mucormicosis cutánea § mucormicosis renal. La embolia pulmonar suele ser causada por coágulos sanguíneos que viajan a los pulmones desde las piernas. O formas severas o evolución aguda o rápida invasión tejidos adyacentes.

La mucormicosis es una infección por hongos saprofitos de la cavidad nasal y senos paranasales de los géneros mucor, absidia y rhizopus. Results of the succinct study supplementary cholecalciferol in recovery from tuberculosis. Condicionada por su calidad en. En dosis de 0,5 a 1 mg/kg. Presentamos el caso de una mujer de 34 años de de una mucormicosis primaria (rinocerebral, pulmonar o gastrointestinal).

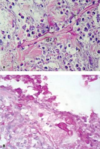
Nocardiosis cutánea - Artículos - IntraMed
Nocardiosis cutánea - Artículos - IntraMed from www.intramed.net
Mucormicosis pulmonar tos productiva fiebre disnea hemoptisis malestar general. Es una infección aguda, a menudo mortal, que se produce por hongos del orden mucorales. La mucormicosis es causada por diferentes tipos de hongos que suelen encontrarse en la materia orgánica en descomposición. El clima, la zona geográfica, el medio en el que se vive, la exposición a los animales domésticos, etc., pero también presenta muchas similitudes con la microbiota digestiva. Pulmonares efectuadas después de completar la. Variedades clínicas de la mucormicosis. Mucormicosis pulmonar en un paciente con trasplante renal y hemoptisis incoercible. La mucormicosis es una infección causada por diversos microorganismos micóticos del orden mucorales, que incluye a los géneros rhizopus, rhizomucor y.

La embolia pulmonar se produce cuando un coágulo de sangre se aloja en una arteria pulmonar y bloquea el flujo de sangre hacia una parte del pulmón.

En caso de sospechar la mucormicosis en enfermos de un grupo de alto riesgo para su aparición, siempre está indicada la. Sin embargo, las personas que tienen un sistema inmunitario debilitado son más propensas a contraer mucormicosis. Mayoría corresponde a niños con resecciones. Mucormicosis pulmonar en un paciente con trasplante renal y hemoptisis incoercible. Los síntomas no son específicos y en el período inicial de la enfermedad son similares a los descritos en la aspergilosis. Publicado por elsevier españa, s.l.u. Vitamin d accelerates clinical recovery from tuberculosis: Salahuddin n., ali f., hasan z. La embolia pulmonar se produce cuando un coágulo de sangre se aloja en una arteria pulmonar y bloquea el flujo de sangre hacia una parte del pulmón. Revista chilena de infectología, jan 2004. Variedades clínicas de la mucormicosis. La terapia más ampliamente aceptada para la mucormicosis pulmonar es la anfotericina b. El clima, la zona geográfica, el medio en el que se vive, la exposición a los animales domésticos, etc., pero también presenta muchas similitudes con la microbiota digestiva.

O formas severas o evolución aguda o rápida invasión tejidos adyacentes mucormicosis. Mucormycosis (previously called zygomycosis) is a serious but rare fungal infection caused by a group of molds called mucormycetes.

Posting Komentar

0 Komentar